Inicio
Servicios
Información
Staff
Galería
Historia
Contacto
Buscar
Servicios principales
Radiografías
Mamografías
Ecografías
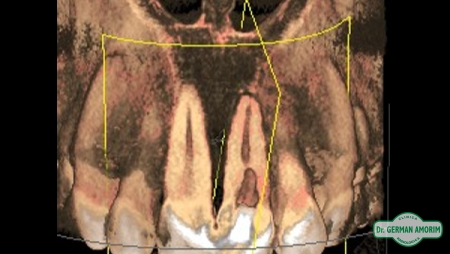
Tomografía Odontológica
Arco en C en Cirugía