Tomografía para implantes dentales

Tomografía Odontológica

Tomografía para implantes

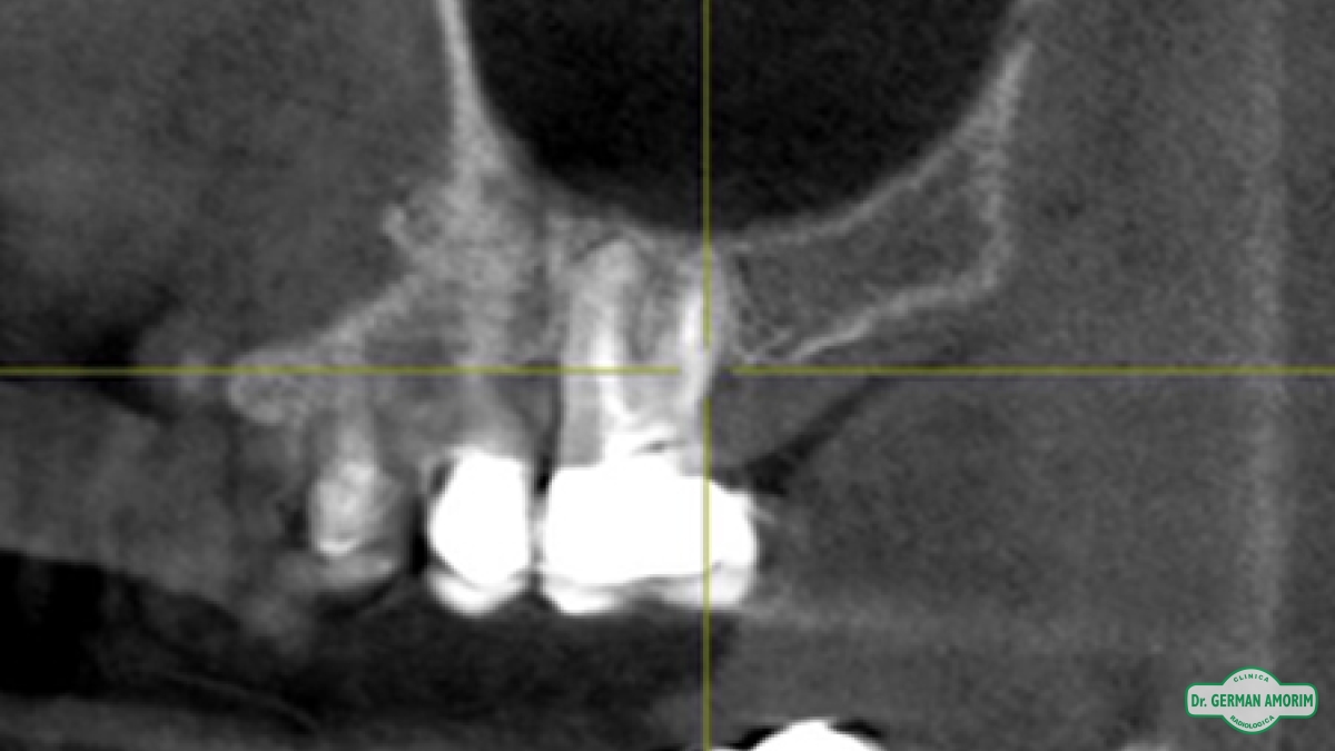
Actualmente y con todos los conocimientos científicos que existen sobre las técnicas implantológicas se recomienda tener siempre una imagen 3D, también en los casos que sea un solo implante. Porque se debe conocer con precisión el espesor de la tabla vestibular para determinar el pronóstico a largo plazo del implante y la única manera de hacerlo es con una tomografía.

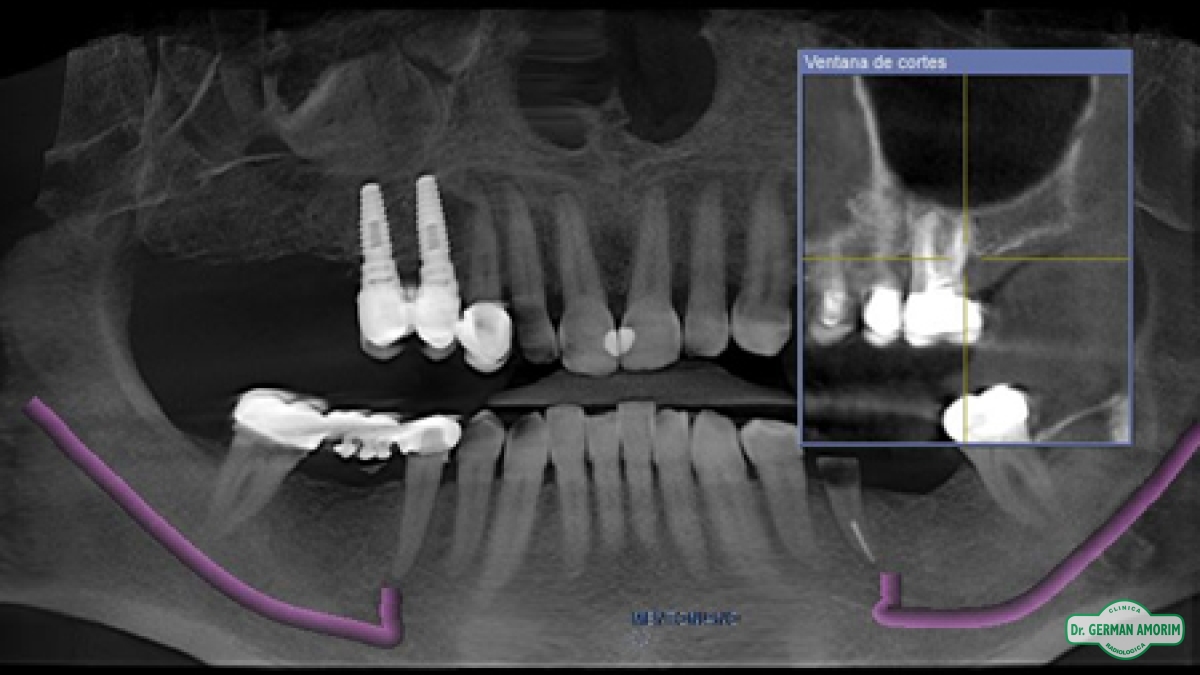
En Clínica Amorim contamos con un Tomógrafo de Haz Cónico Orthophos XG de Sirona que mediante la emisión de un haz cónico de rayos genera una serie de imágenes digitales, que son transferidas al computador a partir de las cuales se realiza una reconstrucción en 3D.

El odontólogo utilizando el software específico Galileos puede observar esta imagen en los tres ejes de un espacio tridimensional y trabajar sobre ella para, entre otras cosas, planificar la colocación de los implantes dentales, lesiones ocultas por superposición en las RX convencionales, etc.

Se utiliza para diagnóstico: 

  • Evaluar si hay hueso suficiente
  • Mediciones para ancho y largo del implante
  • Determinación de las técnicas de regeneración ósea si es necesario
  • Medición de los resultados de las regeneraciones previas a la instalación de implantes y medición de los volúmenes perdidos
  • Evaluación de las patologías que pudieran existir
  • Determinación de la densidad ósea ya que el sistema permite hacer una densitometría localizada
  • Planificación y simulación cirugía de implantes
Implantes Dentales
Implantes Dentales
Implantes Dentales
Implantes Dentales
Implantes Dentales