Tomografía para Endodoncia

Tomografía Odontológica

Endodoncia

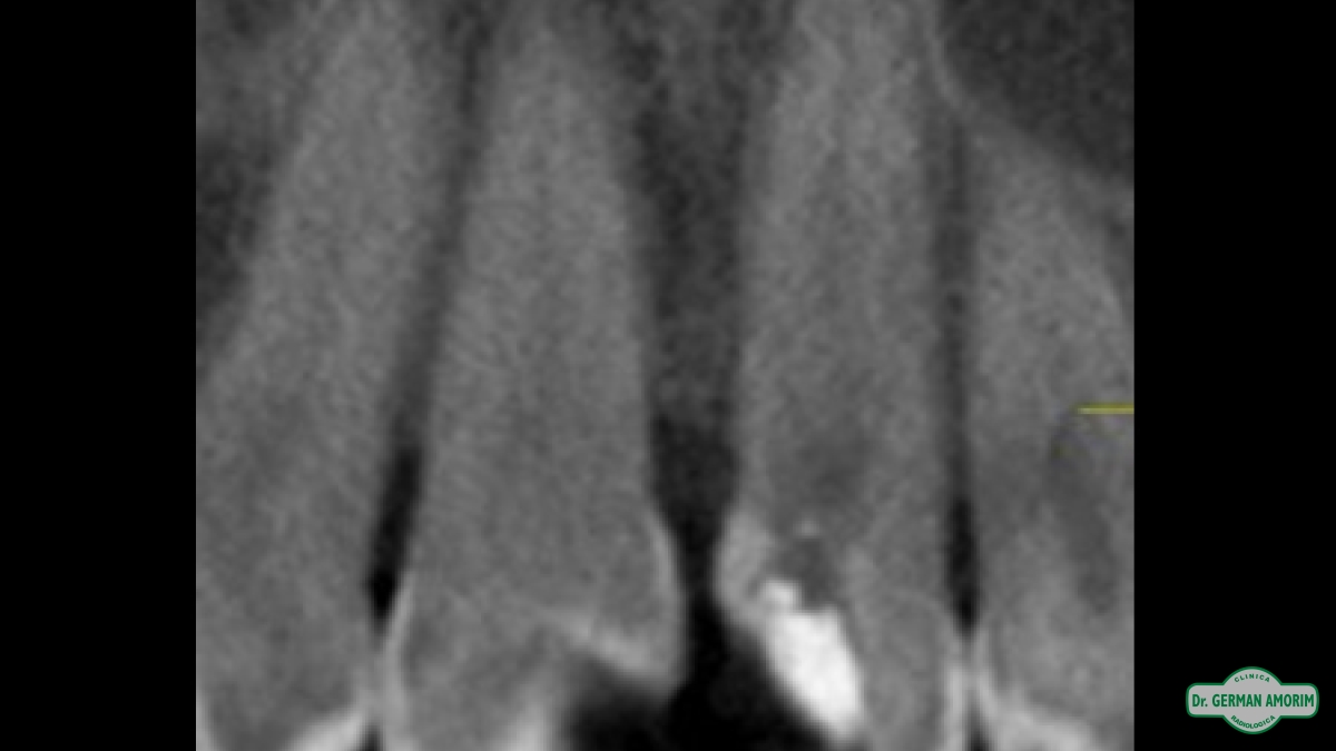
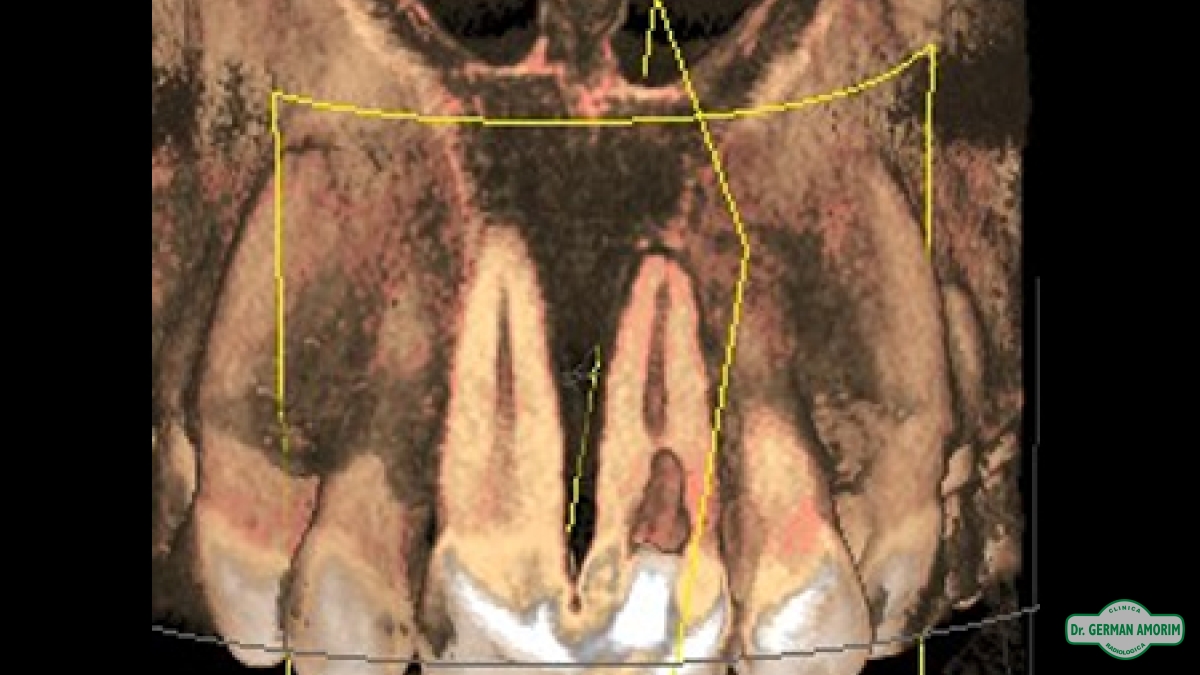
La radiografía tridimensional también tiene mucha utilidad de en Endodoncia como se ve en este caso que detallamos a continuación.

El profesional no podía encontrar el conducto en la radiografía periapical estándar. Al ser bidimensional no lo veía y por eso le indicó una tomografía volumétrica digital (TVD).

En la imagen tridimensional se pudo apreciar dónde estaba el conducto . Como se ve en las imágenes tridimensionales faltó muy poco para hacer una perforación ya que el profesional se estaba yendo hacia vestibular. Gracias a la TVD se pudo identificar y hacer el tratamiento de endodoncia sin problemas. 

Endodoncia
Endodoncia
Endodoncia
Endodoncia
Endodoncia
Endodoncia