Ecografía, Seguimiento Folicular Transvaginal

Ecografías

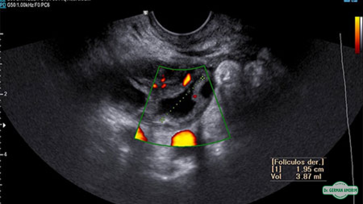
Es un estudio sencillo que consta de la realización de una serie de ecografías en general entre 2 a 4 controles, efectuados en días sucesivos via transvaginal. Se utiliza para evaluar los genitales internos y las modificaciones que ocurren a lo largo del ciclo ovulatorio en una mujer de edad fértil. Esto nos permite constatar si la mujer ovula o no, y el momento exacto en que ocurre.
Parámetros que se controlan mediante la ecografía en el monitoreo folicular:
Útero: su posición, tamaño y características.

Ovarios: se observa la cantidad de folículos de cada ovario y el crecimiento de los mismos. Cada folículo del ovario va creciendo a lo largo del ciclo, hasta romper ( 19 a 23mm.) al momento de la ovulación y expulsar el o los óvulos.
Ecográficamente, si se produce la ovulación se visualizan signos directos de la misma, que sería la desaparición del folículo o el aplanamiento e irregularidades de la pared del mismo y signos indirectos como la presencia de líquido en el fondo de saco de Douglas.

Endometrio: es la capa de tejido que recubre el interior de la cavidad uterina. Este tejido crece todos los ciclos, preparándose para recibir al embrión que se debe implantar, o cae al momento de la menstruación. Su crecimiento óptimo debe superar al menos 7mm al momento de la implantación.

seguimiento
seguimiento
seguimiento

Fuentes: Grupo Gamma 2020