Punciones
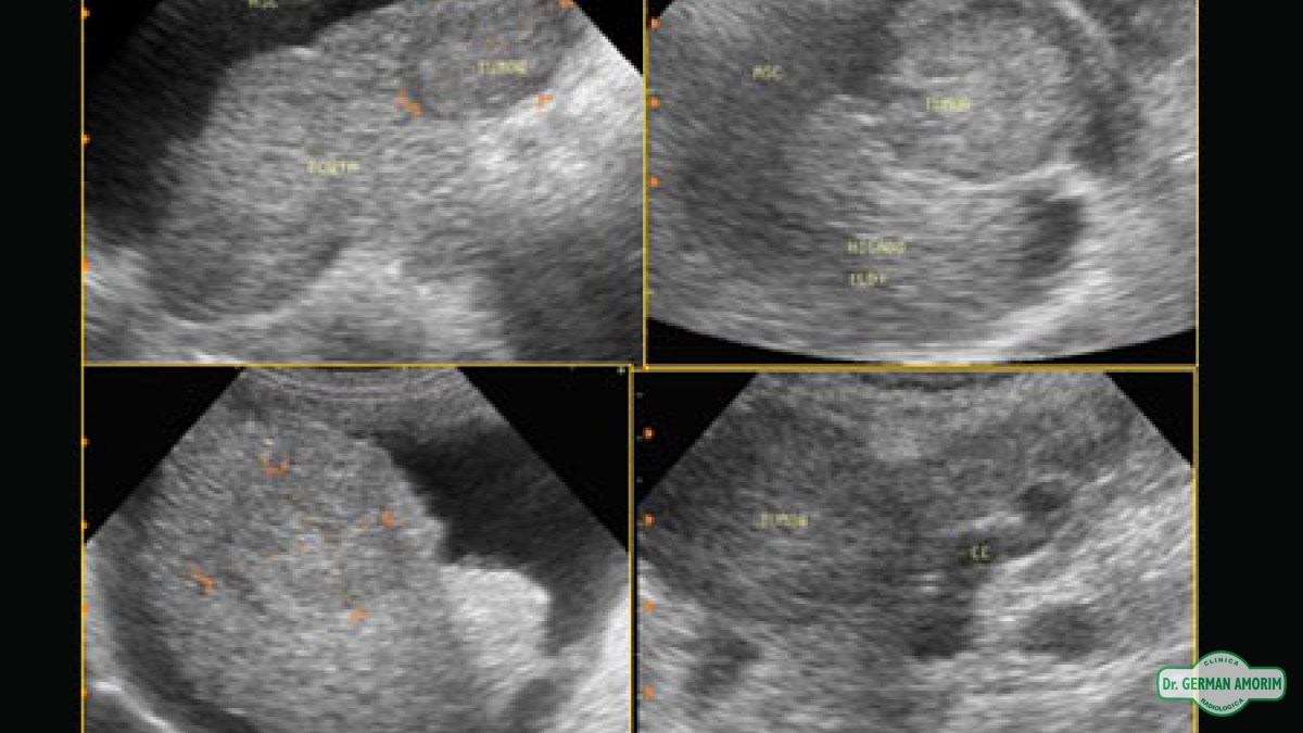
Ecografía de Punciones Hepáticas
La biopsia percutánea es un procedimiento fundamental para el estudio de las enfermedades hepáticas.
Bien sea para su diagnóstico, para la respuesta al tratamiento; para la evacuación de derrames, abscesos y obtención de material para posterior estudio citológico.
Esta técnica se utiliza mucho a partir de la mejora de las imágenes obtenidas con ecógrafos de última generación. Reduciendo así gran parte de las complicaciones observadas cuando se realizaban ciegas.
Con la guía ecográfica es posible controlar en tiempo real el avance de la aguja.
Fuentes: Revista médica de Chile